Nueva prueba no invasiva revoluciona diagnóstico del Alzheimer con precisión sin precedentes
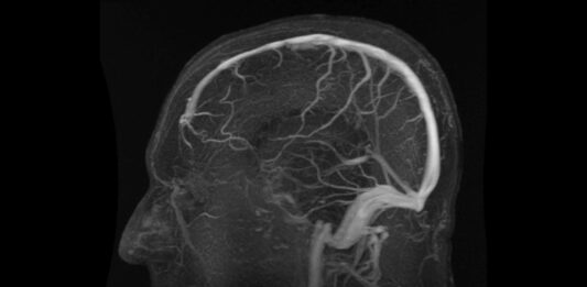
Un innovador estudio de USC revela que la clave para diagnosticar el Alzheimer podría estar en el flujo sanguíneo cerebral, no en las proteínas tóxicas.
Copia y pega esta URL en tu sitio WordPress para incrustarlo
Copia y pega este código en tu sitio para incrustarlo